اسکن هسته ای کلیه، که به عنوان اسکن DMSA یا اسکن MAG3 نیز شناخته می شود، یک نوع تصویربرداری پزشکی است که برای ارزیابی عملکرد کلیه ها و تشخیص بیماری های کلیوی استفاده می شود. این روش شامل تزریق رادیودارو به داخل ورید است که توسط سلول های سالم کلیه جذب می شود. سپس با استفاده از یک دوربین مخصوص، تصاویر از کلیه ها گرفته می شود تا توزیع رادیودارو را نشان دهد. در این مقاله از تمام زوایا این موضوع را بررسی کردیم.
مرکز پزشکی هسته ای سارا
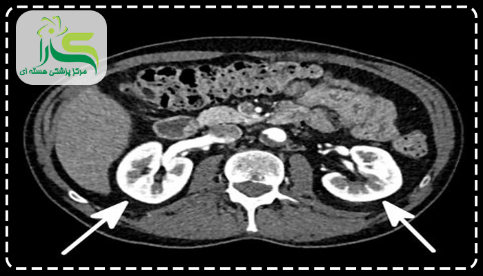
اسکن کلیه به دو روش اسکن استاتیک کلیه (DMSA) و اسکن دینامیک کلیه (DTPA) انجام می شود. در ادامه اسکن هستهای استاتیک کلیه (DMSA) را برای شما شرح خواهیم داد.
کاربردهای اسکن هسته ای کلیه
کاربرد اسکن هستهای کلیه که برای بررسی عملکرد و ساختار کلیهها به کار میرود و با استفاده از این اسکن میتوان اطلاعات دقیقی به دست آورد که در روشهای معمول تصویربرداری مشخص نمیشود. کاربردهای اسکن هسته ای کلیه عبارتند از:
- تشخیص عفونت کلیه: اسکن هسته ای می تواند به طور موثری عفونت کلیه (پیلونفریت) را که اغلب با آزمایشات ادرار و سونوگرافی به سختی قابل تشخیص است، شناسایی کند.
- تشخیص انسداد کلیه: اسکن هسته ای می تواند به شناسایی انسداد در حالب ها، لوله هایی که ادرار را از کلیه ها به مثانه منتقل می کنند، کمک کند.
- ارزیابی عملکرد کلیه: اسکن هسته ای می تواند برای تخمین میزان عملکرد هر کلیه به صورت جداگانه استفاده شود.
- تشخیص تومورهای کلیه: اسکن هسته ای می تواند به شناسایی تومورهای کلیه، از جمله سرطان کلیه، کمک کند.
- ارزیابی پیوند کلیه: اسکن هسته ای می تواند برای نظارت بر سلامت کلیه پیوندی و تشخیص زودهنگام عوارض احتمالی استفاده شود.
بیشتر بخوانید: مراقبت های بعد از تصویر برداری و اسکن
مزایای اسکن هسته ای کلیه:
مزایای اسکن هستهای کلیه بسیار متنوع است و به پزشک کمک میکند تا اطلاعات دقیقی از عملکرد کلیهها به دست آورد. این روش بدون درد و کمخطر است و میتواند جزئیاتی را نشان دهد که با روشهای دیگر مشخص نمیشود. مهمترین مزایا شامل:
- اسکن هسته ای کلیه می تواند اطلاعات دقیقی از سلامت هر کلیه به صورت جداگانه ارائه دهد.
- این روش ایمن است و نیازی به بیهوشی یا برش پوست ندارد.
- اسکن هسته ای کلیه بی خطر است و عوارض جانبی کمی دارد.
- تشخیص زودهنگام انسداد یا تنگی در مجاری ادراری را نشان میدهد.
- میزان جریان خون در کلیهها را ارزیابی میکند.
- پیگیری وضعیت کلیه بعد از عمل جراحی یا درمانهای پزشکی را از طریق آن انجام میشود.
- نواحی آسیبدیده یا ضعیف در بافت کلیه را شناسایی میکند.
کاندیدای انجام اسکن هستهای کلیه
کاندیدای انجام اسکن هستهای کلیه افرادی هستند که نیاز دارند عملکرد و ساختار کلیههایشان به دقت بررسی شود. این روش تصویربرداری به پزشک کمک میکند جریان خون، عملکرد تصفیه و مشکلات احتمالی کلیهها را به شکل دقیقتری ببیند.
- افرادی که آسیب یا بیماری مزمن کلیه دارند.
- کسانی که مشکلات ادراری مکرر یا انسداد مسیر ادرار دارند.
- بیماران با فشار خون بالا که علت آن ناشناخته است.
- افرادی که نیاز به بررسی قبل یا بعد از جراحی کلیه دارند.
- کسانی که درد مزمن در ناحیه کلیه یا تورم غیر معمول دارند.
این روش ایمن است و میتواند اطلاعات مهمی درباره وضعیت کلیهها ارائه دهد و به تصمیمگیری برای درمان کمک کند.

چگونه برای اسکن هسته ای کلیه آماده شوم؟
آماده شدن قبل از اسکن باعث میشود تصویر واضحتر باشد و نتیجه دقیقتر به دست آید. ابتدا بهتر است پزشک خود را از داروهایی که مصرف میکنید، حساسیتها یا بیماریهای زمینهای مطلع کنید. مهم است که قبل از انجام اسکن مایعات زیادی بنوشید، بنابراین دوربین گاما می تواند از مایعی که در کلیه ها جمع آوری شده و از طریق حالبها به مثانه تخلیه می شود، عکس بگیرد.
اگر اسکن به دلیل فشار خون بالای ثانویه به دلیل بیماری کلیوی یا تنگی شریان کلیوی انجام شود، برخی از داروهای فشار خون باید ۴ تا ۷ روز قبل از انجام اسکن قطع شوند. در این اسکن نیازی به ناشتا بودن نیست، اما اگر اسکن برای بررسی فشار خون بالا باشد، ممکن است برخی مراکز از شما بخواهند تا ۴ ساعت قبل از اسکن چیزی نخورید.
در روز اسکن هرگونه زیورآلات یا اجسام فلزی که ممکن است در تصویر تداخل ایجاد کنند، از خود جدا کنید. با پزشک خود صحبت کنید یا برای دستورالعملهای مربوط به آمادگی برای اسکن با مرکز هستهای سارا تماس حاصل فرمایید.
موارد منع اسکن هسته ای کلیه
موارد منع اسکن هستهای کلیه به شرایطی اشاره دارد که انجام این روش تشخیصی ممکن است خطرناک باشد یا نتیجه قابل اعتماد ندهد. قبل از انجام اسکن، پزشک وضعیت سلامت فرد را بررسی میکند تا از ایمنی آن اطمینان حاصل شود. اگر باردار یا در دوران شیردهی هستید، باید به پزشک یا متخصص خود و کارکنان پزشکی هسته ای اطلاع دهید.بارداری یک منع مطلق برای اسکن کلیه است تا از قرار گرفتن جنین در معرض تشعشعات جلوگیری شود.
اگر در دوران شیردهی هستید و برای انجام اسکن هسته ای اجبار دارید، پزشک و کارکنان پزشکی هسته ای در مورد نیاز به دوشیدن شیر مادر و کاهش تماس مستقیم با نوزاد برای مدت کوتاهی پس از اسکن صحبت خواهند کرد، این برای جلوگیری از رسیدن تشعشعات غیر ضروری به کودک شما است. برخی از داروها که در مطالعات پزشکی هسته ای مورد استفاده قرار می گیرند، می توانند به شیر مادر و به کودک منتقل شوند. در حالی که اسکن هسته ای کلیه می تواند ابزاری ارزشمند برای تشخیص بیماری های کلیوی باشد، در برخی موارد انجام آن ممنوع یا نامناسب است. موارد منع اسکن هسته ای کلیه شامل موارد زیر است:
حاملگی و شیردهی:
به دلیل خطر بالقوه قرار گرفتن جنین یا نوزاد در معرض تابش، اسکن هسته ای کلیه در دوران بارداری یا شیردهی به طور کلی توصیه نمی شود. تابش مواد رادیودارو میتواند به جنین آسیب برساند و باعث اختلال در رشد یا مشکلات مادرزادی شود. زنانی که قصد بارداری دارند باید قبل از انجام اسکن آزمایش بارداری بدهند یا پزشک را از احتمال بارداری مطلع کنند.
اما در شرایط شیردهی هم رادیودارو میتواند وارد شیر مادر شود و به نوزاد منتقل گردد. زنان شیرده باید با پزشک درباره توقف موقت شیردهی یا روشهای ایمن جایگزین مشورت کنند تا خطری برای نوزاد ایجاد نشود.
بیماری های کلیوی:
در برخی موارد، بیماری های کلیوی مانند نارسایی کلیه می تواند خطر عوارض جانبی اسکن هسته ای کلیه را افزایش دهد. اگر کلیه یا کبد به شدت دچار مشکل باشد، جذب و دفع رادیودارو به درستی انجام نمیشود و نتیجه اسکن ممکن است قابل اعتماد نباشد. این موضوع میتواند منجر به تشخیص نادرست یا نیاز به روشهای جایگزین شود.
مشکلات قلبی شدید
برخی بیماریهای قلبی باعث میشوند جریان خون به کلیهها تغییر کند و رادیودارو به شکل غیرعادی توزیع شود. در این شرایط، اسکن ممکن است باعث افزایش فشار روی قلب یا عدم دریافت نتایج دقیق گردد.
شرایط خاص پزشکی:
برخی از شرایط پزشکی مانند دیابت کنترل نشده یا بیماری های التهابی می تواند بر دقت اسکن هسته ای کلیه تاثیر بگذارد.
مصرف برخی از داروها:
مصرف برخی از داروها، مانند دیورتیک ها یا داروهای حاوی ید، می تواند بر نتایج اسکن هسته ای کلیه تاثیر بگذارد.
کودکان:
به طور کلی، اسکن هسته ای کلیه در کودکان فقط در صورت ضرورت و با احتیاط شدید انجام می شود.
سابقه قرار گرفتن در معرض تابش:
اگر در گذشته در معرض تابش یونیزاسیون قرار گرفته اید، مانند پرتودرمانی یا رادیوگرافی مکرر، باید به پزشک خود اطلاع دهید.
در برخی موارد، ممکن است جایگزین های ایمنتر و کم خطرتری برای اسکن هستهای کلیه وجود داشته باشد. پزشک شما می تواند در مورد مناسبترین روش تصویربرداری برای شما با توجه به شرایط خاص شما صحبت کند. قبل از انجام هر نوع اسکن، همیشه مهم است که با پزشک خود در مورد خطرات و مزایای آن صحبت کنید و در مورد هر گونه شرایط پزشکی یا دارویی که مصرف می کنید، به او اطلاع دهید.

تجهیزات اسکن هسته ای کلیه
تجهیزات اسکن هستهای کلیه بهطور عمده شامل یک دوربین گاما و یک سیستم کامپیوتری است. دوربین گاما تشعشعاتی که از بدن بیمار منتشر میشود را شناسایی میکند، که بهصورت تزریقی به یک ورید وارد میشود. این رادیودارو از طریق جریان خون حرکت کرده و در کلیهها متمرکز میشود. دوربین گاما تصاویر کلیهها را هنگام حرکت رادیودارو از طریق آنها ثبت میکند و به ارزیابی عملکرد و ساختار کلیهها کمک میکند. سیستم کامپیوتری این تصاویر را پردازش کرده و تصاویری دقیق و دادههایی برای تشخیص صحیح فراهم میکند. اجزای دیگر ممکن است شامل یک تخت بیمار، مانیتور، و کنسول کنترل برای تکنسین باشد.
در طول اسکن هسته ای کلیه چه اتفاقی می افتد؟
در بدو ورود، قد و وزن شما اندازه گیری می شود تا متخصص پزشکی هسته ای بتواند دوز و تنظیم دوربین را تعیین کند. برای اطمینان از اینکه به خوبی هیدراته شدهاید، به شما پیشنهاد می شود مقداری آب بنوشید. برای هر دو اسکن DTPA و DMSA، شما روی تخت اسکن با یک دوربین گاما در زیر تخت دراز خواهید کشید. ثابت ماندن در طول اسکن بسیار مهم است، زیرا حرکت تصاویر را تار می کند. اگر این میتواند برای شما مشکل ساز باشد، به متخصص پزشکی هستهای اطلاع دهید و آنها به شما کمک خواهند کرد.
یک آنژیوکت (لوله پلاستیکی نازک) در رگ شما، در بازو، وارد می شود و در طول اسکن در آنجا باقی می ماند. رادیودارو از طریق آنژیوکت وارد خون می شود. دوربین گاما بالای بدن شما قرار می گیرد، اما شما را لمس نمی کند. تصاویری از کلیه های شما حدود چند دقیقه به طور مداوم گرفته می شود. بسته به مرکزی که در آن اسکن را انجام می دهید و دلیلی که برای اسکن ارجاع شده اید، ممکن است داروی اضافی از طریق آنژیوکت داده شود. داروهای اضافی رایج مورد استفاده عبارتند از فروسماید (لاسیکس) و کاپتوپریل برای دیدن هر گونه انسداد روی تصاویر میباشد.
در پایان اسکن، ممکن است از شما خواسته شود که به سرویس بهداشتی بروید و مثانه خود را خالی کنید، سپس برای چند دقیقه تصویربرداری مجدد برگردید. البته قبل از خروج از مرکز، آنژیوکت خارج میشود.
آیا اسکن هسته ای کلیه عوارض دارد؟
اسکن هسته ای کلیه عوارضی ندارد. اگر دوز فروزماید یا کاپتوپریل داده شود، ممکن است لازم باشد مثانه خود را بیشتر از حد معمول در آن روز تخلیه کنید. مهم است که پس از انجام اسکن مایعات زیادی بنوشید تا از کم آبی بدن جلوگیری کنید. برخی از افراد پس از کاپتوپریل افت فشار خون دارند. لطفا اگر احساس سرگیجه، سبکی سر یا ناخوشی دارید، به کارکنان مرکز محل اسکن اطلاع دهید.
نتیجه گیری
اسکن هسته ای کلیه، که به عنوان اسکن DMSA یا اسکن MAG3 نیز شناخته می شود، یک روش تصویربرداری پزشکی است که برای ارزیابی عملکرد کلیه ها و تشخیص بیماری های کلیوی به کار می رود. این روش شامل تزریق رادیودارو به بیمار و سپس تصویربرداری از کلیه ها برای مشاهده توزیع رادیودارو است. اسکن هسته ای کلیه می تواند برای تشخیص طیف وسیعی از بیماری های کلیوی، از جمله عفونت کلیه، انسداد کلیه، تومورهای کلیه و مشکلات مربوط به پیوند کلیه مفید باشد. این روش اطلاعات دقیقی در مورد عملکرد هر کلیه به صورت جداگانه ارائه می دهد.
سوالات متداول
خیر، تزریق رادیودارو بدون درد است و خود تصویربرداری غیرتهاجمی است.
ناشتا بودن لازم نیست، اما ممکن است پزشک مصرف برخی داروها یا مایعات را محدود کند.
بین ۳۰ تا ۶۰ دقیقه طول میکشد، بسته به نوع اسکن و تصویربرداریهای اضافی.
بله، دوز رادیودارو متناسب با سن و وزن کودک تنظیم میشود و ایمن است.
اگر مشکوک به وجود مشکلاتی در عملکرد کلیهها باشید، پزشک شما را برای اسکن کلیه به مرکز پزشکی هستهای معرفی میکند تا جریان خون، عملکرد و جریان ادرار از کلیهها را بررسی کند.

